Kieferorthopädische Chirurgie
Dr. Meiß ist Facharzt für Mund-, Kiefer- und Gesichtschirurgie sowie MSc in Ästhetischer Gesichtschirurgie. Damit ist er Ihr Spezialist für kieferorthopädische Eingriffe.
Mit über 30 Jahren Erfahrung und mehr als 1.000 erfolgreich durchgeführten Eingriffen (u. a. Bi-/Monomax, GNE, Genio, ME) bieten wir spezialisierte chirurgische Unterstützung bei Kieferfehlstellungen. Unser interdisziplinäres Fachärzteteam aus MKG-, Oralchirurgie, Implantologie und Zahnmedizin arbeitet eng mit Ihrem Kieferorthopäden zusammen – für optimale funktionelle und ästhetische Ergebnisse, auch bei komplexen Dysgnathiefällen mit prothetischem oder augmentativem Behandlungsbedarf.
Wir bieten Ihnen höchste medizinische Qualität und Sicherheit. Vertrauen Sie auf ein Team, das Funktion und Ästhetik in Einklang bringt – für eine nachhaltige Verbesserung Ihrer Lebensqualität.



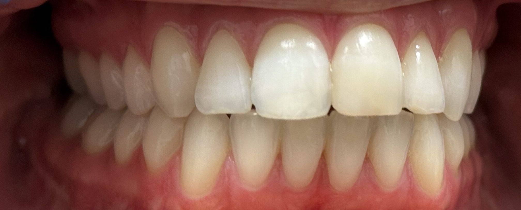
Vorher-Nachher-Effekt
Vorher: Es besteht ein deutlicher Überbiss beim Patienten.
Nachher: Die Zähne sitzen nun korrekt aufeinander.
Mit einer Dysgnathie OP wurde der Fehlbiss korrigiert, die bestehenden Beschwerden behoben und ein ästhetisches Gesamtbild des Gesichts erzeugt.
Gehen Sie folgende Fragen für sich durch:
Wenn Sie ein oder mehrere dieser Fragen mit Ja beantworten, dann könnte bei Ihnen eine Kieferfehlstellung vorliegen. Machen Sie gleich einen Termin aus und lassen Sie sich beraten.
Schon gewusst?
Eine Dysgnathie ist ein Fehlwachstum des Gesichtsschädels und kann sich in Form eines fliehenden oder vorstehenden Kinns, asymmetrischen Gesichtsproportionen oder einer flachen Wagen-/Mittelgesichtspartie zeigen. Sie beeinträchtigt häufig Funktionen wie Kauen und Sprechen. Ursachen können vielfältig sein, beispielsweise kann eine Fehlwachstum genetische Ursachen haben oder im Laufe des Lebens erworben sein.
Körperlich kann eine Dysgnathie Schmerzen im Kiefergelenk, Kopf, Nacken, Schultern und Rücken verursachen sowie die Kau-/ und Abbeißfunktion beeinträchtigen. Zudem kann sie zu Parodontose, Zahnverlust, Knochenabbau und psychischen Belastungen führen.
Wir bieten Ihnen Kontinuität:
Informationen zum Eingriff:
Optimale Planung
Mit modernster Diagnostik, präziser Modellplanung und langjähriger Erfahrung schaffen wir die Grundlage für ein sicheres Vorgehen und ästhetisch überzeugende Ergebnisse.


Vor der OP / Nach der OP
Individuelle Vor- und Nachbereitung
Nach individuellem Bedarf erhalten die Patienten Vor- und Nachbehandlungen von erfahrenen Therapeuten:


Vor der OP / Nach der OP
Operation und Techniken
Das können wir zusammen erreichen:
Durch die kieferorthopädisch-chirurgische Behandlung lassen sich sowohl funktionelle als auch ästhetische Verbesserungen erzielen:
Ziel der Behandlung ist es, eine optimale Zahn- und Kieferstellung und harmonische Kieferrelationen zu erreichen und die Ursache der funktionellen Beschwerden zu beseitigen.
Besonderer Wert wird darauf gelegt, dabei auch die Ästhetik von Profil und Gesicht zu optimieren.
Ein nachhaltiges Ergebnis, das sich gut anfühlt – innen wie außen.
